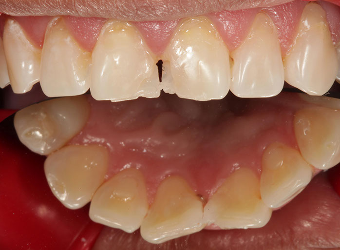
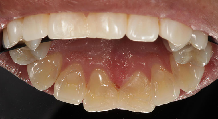
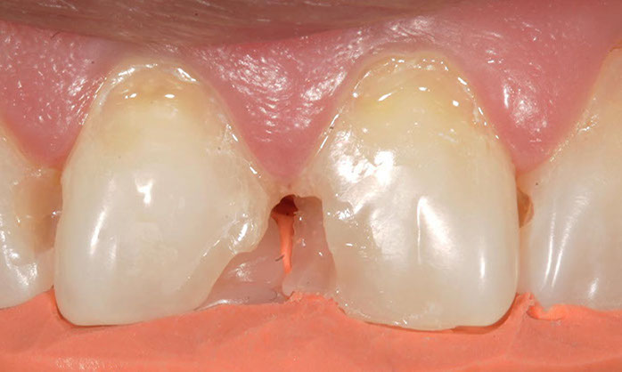
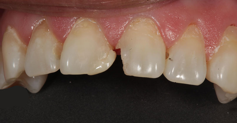
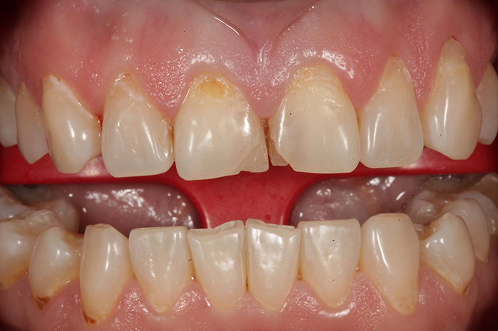
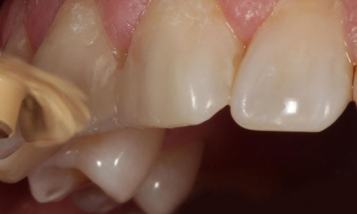
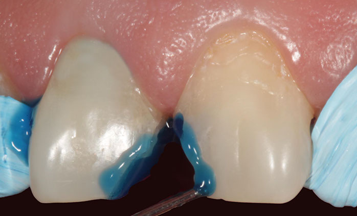
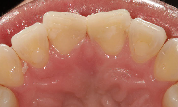
Fotografía de caso clínico